
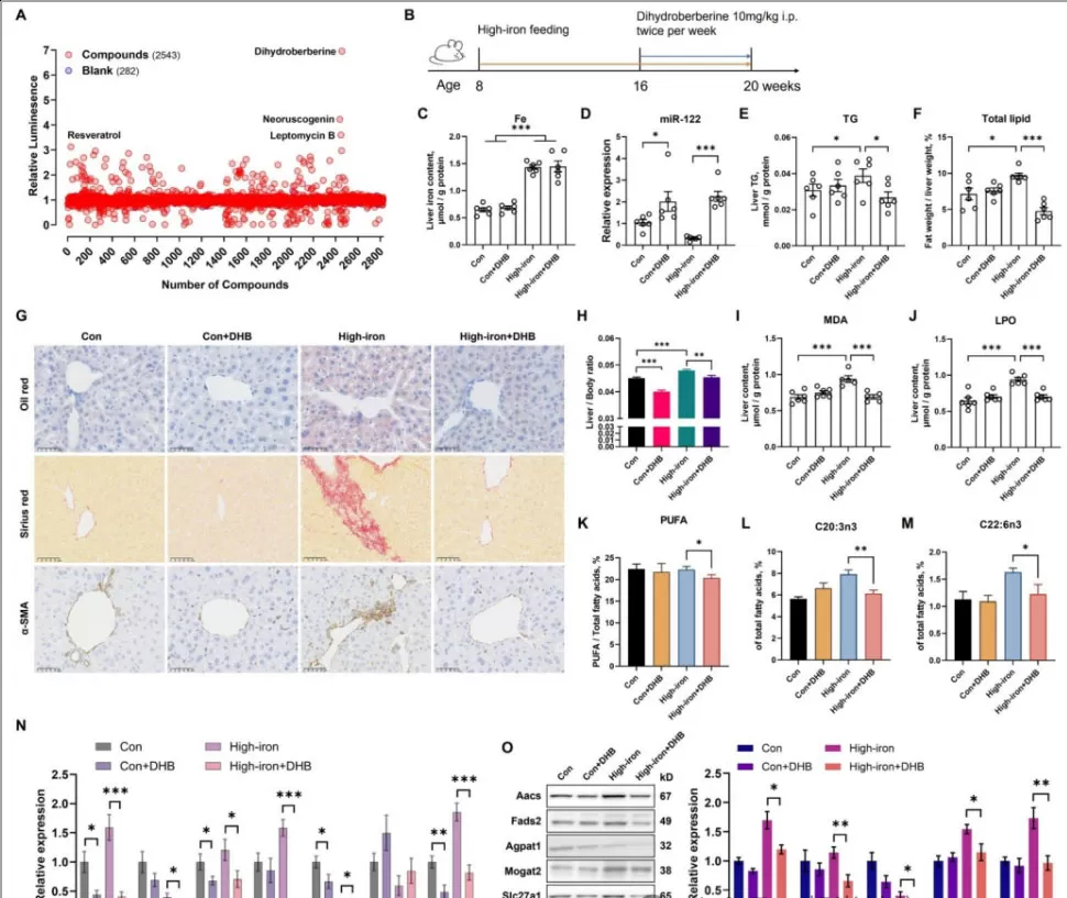
要約: 2025年5月に発表された質の高い研究では、人民解放軍海軍医科大学栄養学部の研究チームは、ルシフェラーゼレポーターモデルを使用してmiR-122の活動を「監視」する新しい「スクリーニングシステム」を設計しました。miR-122のための「シグナルライト」のインストールに似ています。 化合物がmiR-122活性を高めると、「シグナルライト」が明るくなります。 その後、彼らは2,543の天然化合物の大規模なハイスループットスクリーニングを実施し、miR-122の「理想的なパートナー」を効果的に探しました。
厳格なスクリーニングの後、ジヒドロベルベリンは2,543の天然化合物の中で傑出した候補として浮上しました。それはmiR-122レベルを大幅にアップレギュレートするだけでなく、細胞毒性も示さず、有効性と安全性の両方を示します。
MASLD (代謝機能障害関連脂肪質肝疾患) の高鉄食誘発マウスモデルでは、ジヒドロベルベリンは顕著な肝臓保護効果を示しました。
MiR-122レベルを回復する: 鉄過剰によるmiR-122の減少を逆転させ、肝臓の「レギュレーター」を効果的に再活性化します。
脂質代謝を改善します: 肝性トリグリセリドと総脂肪含有量を減らし、目に見えて「よりきれいな」肝臓につながります (オイルレッドO染色によって証明されます)。
酸化的損傷を防ぐ: 脂質過酸化マーカー (MDA、LPOなど) のレベルを下げ、肝細胞膜を分解から保護します。
肝障害と線維症を軽減する: ALTとAST (主要な肝障害マーカー) を大幅に減少させ、肝線維症の進行を緩和します。

図D: miR-122調節-鉄の過負荷はmiR-122の発現の急激な低下を引き起こしましたが、DHB治療はそれをほぼ正常なレベルに戻しました。
E-Hの図: 脂質代謝の改善-鉄の過負荷により、DHB投与後に減少した肝トリグリセリドと総脂質蓄積が誘発されました。
図I-J: 酸化的損傷軽減-鉄の過負荷は酸化生成物 (MDA、LPOなど) を増加させましたが、DHB治療はこれらのマーカーを大幅に減少させました。
図K-M: 脂肪酸バランスの回復-DHB治療は、鉄過剰による多価不飽和脂肪酸の調節不全を逆転させ、有益な脂肪酸比を回復させました。
図N-O: タンパク質調節-鉄の過負荷は、DHB介入によって正常化されたリポ形成関連タンパク質の発現を妨害しました。
スクリーニングされた2,543の化合物の中で、ジヒドロベルベリン (DHB) は偶然ではなく、最も強力なmiR-122アップレギュレーションと完全な細胞の生体適合性の両方を示すことによって際立っていました。これは臨床翻訳の重要な基盤です。
鉄の過負荷は、定義されたカスケードを通じて肝臓に損傷を与えます。
鉄の過負荷 → miR-122クラッシュ → 調節不全のリポジェニックタンパク質 → 脂質蓄積酸化ストレス → 肝疾患の悪化。
DHBは、次の方法でこの悪循環を中断します。
DHBの補給 → miR-122の回復 → 抑制された脂肪原性タンパク質 → 脂質沈着の減少は酸化的損傷を軽減する → 肝の「冷却」。
この研究は、DHBが次のことを決定的に示しています。
MiR-122をアップレギュレートして、脂肪発生と酸化を促進する有害な遺伝子 (Aacs、Fads2、CYPなど) を沈黙させます。
「鉄の過負荷 → 代謝機能障害」のフィードバックループを根本的に破る
鉄の過負荷とMASLDに苦しむ人々のために、二重の行動 (代謝調節と肝保護) を提供します
鉄とmiR-122がどのように相乗的に肝臓に害を及ぼすかを解明することから、体系的なscを通じてDHBを特定することまでReening、この研究はMASLD介入のための有望な治療手段を明らかにします。
参考文献:
Yuxiao Tang 1、Zelong Gao etal。鉄の過負荷とmiR-122の相乗効果を打ち破り、MASLDにおける脂質の蓄積と過酸化を救出します。 ファーマコールRes。 2025年5月: 215:107728。